Advertisement

Θεσσαλονίκη: Ανήλικη κατάπιε καρφίτσα -Πώς την έσωσαν οι γιατροί στο «Ιπποκράτειο»

Μια καρφίτσα κατάπιε ένα ανήλικο κορίτσι στη Θεσσαλονίκη την Κυριακή, με αποτέλεσμα να μεταφερθεί εσπευσμένα στο Ιπποκράτειο Νοσοκομείο, με τη συνοδεία των γονέων του.

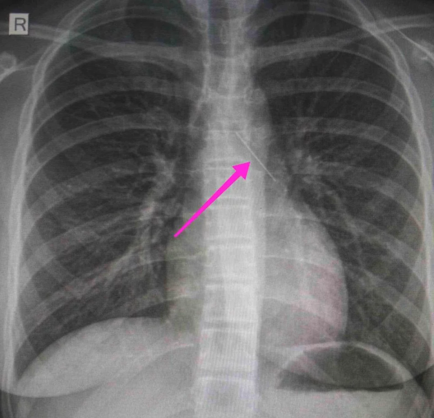
Από την ακτινογραφία θώρακος και την αξονική τομογραφία θώρακος διαπιστώθηκε «η ύπαρξη αιχμηρού μεταλλικού ξένου σώματος στην αναπνευστική οδό (αριστερός κύριος βρόγχος) και όχι στην πεπτική οδό» αναφέρει, μεταξύ άλλων, η ανακοίνωση του νοσοκομείου.

 

Advertisement

 

Η ανήλικη υπεβλήθη σε βρογχοσκόπηση και διαπιστώθηκε η μετακίνηση και ενσφήνωση του αντικειμένου στον δεξιό κύριο βρόγχο. «Μετά από εργώδεις προσπάθειες ολοκληρώθηκε με επιτυχία η αφαίρεσή της», δηλώνει το νοσοκομείο.

Η ανήλικη ασθενής μεταφέρθηκε για παρακολούθηση και νοσηλεία στη Γ’ Παιδιατρική Κλινική.

Η ενημέρωση του νοσοκομείου

«Χθες 30/1/2022 στις 16:00 στο Τ.Ε.Π. του ΓΝΘ Ιπποκράτειο, προσήλθε ανήλικη συνοδευόμενη από τους γονείς της, μετά από αναφερόμενη κατάποση ξένου σώματος (καρφίτσα). Από την απεικονιστική διερεύνηση που πραγματοποιήθηκε με ακτινογραφία θώρακος αρχικά και ακολούθως με αξονική τομογραφία θώρακος, διαπιστώθηκε η ύπαρξη αιχμηρού μεταλλικού ξένου σώματος στην αναπνευστική οδό (αριστερός κύριος βρόγχος) και όχι στην πεπτική οδό.

Πραγματοποιήθηκε πλήρης προεγχειρητικός έλεγχος και RAPID PCR (COVID-19), και μετά την λήψη συγκατάθεσης των γονέων που συνόδευαν την ασθενή, οδηγήθηκε στη χειρουργική αίθουσα. Μετά από την χορήγηση γενικής αναισθησίας από την ιατρό Αναισθησιολόγο, Διευθύντρια κα Μαρία Μυλωνά (για την διεκπεραίωση του ιδιαίτερου αυτού περιστατικού) υποβλήθηκε σε βρογχοσκόπηση με άκαμπτο βρογχοσκόπιο από τους Ιατρούς Ω.Ρ.Λ., Καρασμάνη Ηλία και Μαγγανάρη Αργύρη, Επιμ. Α’ της ΩΡΛ Κλινικής του Γ.Ν.Θ. «Ιπποκράτειο».

Κατά την βρογχοσκόπηση διαπιστώθηκε η μετακίνηση και ενσφήνωση του ξένου σώματος στον δεξιό κύριο βρόγχο. Μετά από εργώδεις προσπάθειες ολοκληρώθηκε με επιτυχία η αφαίρεση αυτού. Η ασθενής ανένηψε πλήρως εντός της χειρουργικής αίθουσας. Η ασθενής μεταφέρθηκε για παρακολούθηση και νοσηλεία στη Γ’ Παιδιατρική Κλινική.

Η Διοίκηση του Νοσοκομείου ευχαριστεί το σύνολο των εργαζομένων οι οποίοι συμμετείχαν στην επιτυχή έκβαση της περιπέτειας της ασθενούς».

 

 

Πηγή iefimerida
Μπορεί επίσης να σας αρέσει